fbpx

making people smile

צרו קשר עוד היום!

חולמים על חיוך מושלם?
אל תחפשו עוד!

שי סמייל מציעה שירות מתקדם של יישור שיניים Invisalign
שי סמייל – מרפאת השיניים המובילה בנתניה בניהול ד"ר יוסי שי, עם 35 שנות ניסיון. מתמחים ביישור שיניים שקוף (אינויזליין), הלבנת שיניים, וטיפולי שיניים מקיפים. טכנולוגיה מתקדמת וצוות מקצועי מבטיחים לכם חיוך מושלם. בואו לגלות איך נוכל לשדרג את החיוך שלכם!

יישור שיניים
בשיטת Invisalign

ברוכים הבאים לעולם שבו ישור שיניים לא צריך מסורבל ובלתי נראה.אנו גאים להציג את מערכת ה-Invisalgin הפתרון המתקדם ביותר ליישר שיניים באופן שקוף ונוח.

עם Invisalgin, תוכלו להנות מתהליך יישור שיניים חסר כאב, שלא משפיע על מראה היומיום שלכם.

יתרונות של Invisalign​

שקיפות מלאה

מסילות ה-Invisalign עשויות מחומר שקוף, הופכות אותן לבלתי נראות כמעט בזמן שימוש.

נוחות מירבית

מעוצבות להתאים באופן מדויק לשינייך, מה שמקטין את הלחץ ומאפשר נוחות מרבית תוך כדי טיפול.

אפשרות להסרה

בניגוד לברזלים, ניתן להסיר את מסילות ה-Invisalign בקלות לפני אכילה, שתייה או צחצוח שיניים, מה שמאפשר שמירה על היגיינה אוראלית מעולה.

תוצאות מהירות

רבים מהלקוחות נהנים מתוצאות מרשימות כבר בתוך חודשים ספורים מתחילת הטיפול.

איך זה עובד?

התהליך מתחיל בייעוץ ראשוני, בו נבדוק את מצב השיניים שלך ונגבש את התוכנית האישית לטיפול. בעזרת טכנולוגיית סריקה מתקדמת, נייצר מודל דיגיטלי של הפה שלך, מה שמאפשר לנו לתכנן את תהליך היישור שלך
צעד אחר צעד.
לאחר מכן, תקבלו את סט המסילות השקופות האישיות, כל אחת מהן מיועדת לשלב מסוים בתהליך היישור. תחליפו את המסילה כל שבועיים עד שתגיעו לתוצאה הרצויה.

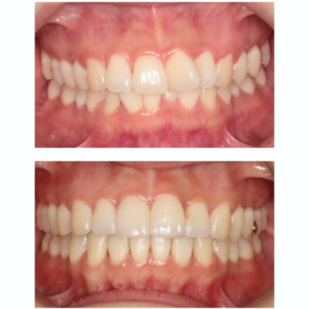
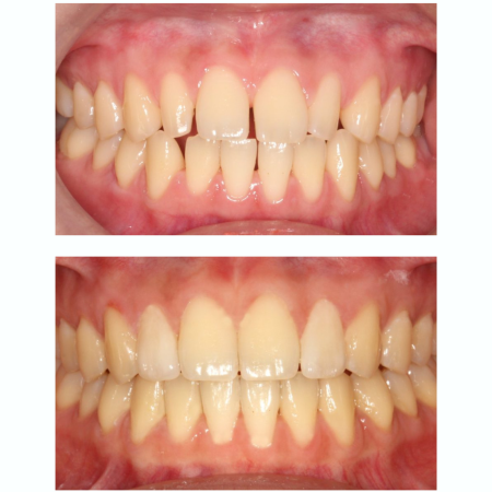
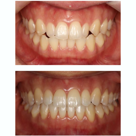
מרפאת Shay Smile - יישור שיניים בשיטת אינויזיליין
מרפאת Shay Smile - יישור שיניים בשיטת אינויזיליין

למה לבחור בנו?

בשי סמייל, אנו מציעים טיפול אישי ומקצועי ברמה הגבוהה ביותר. 
המומחים שלנו מלווים אתכם בכל שלב על מנת להבטיח את הצלחת הטיפול ושביעות רצון מלאה. אנו מאמינים שכל אחד ראוי לחיוך שהוא גאה בו, ואנו כאן כדי להפוך את זה למציאות עבורכם

שאלות נפוצות לגבי יישור שיניים עם Invisalign

Invisalign מתאים לרוב המבוגרים והנערים עם מגוון רחב של בעיות יישור שיניים. עם זאת, ישנם מקרים מסוימים בהם טיפול אלטרנטיבי עשוי להיות מועדף.

 אנו נבדוק את המקרה שלך בפגישת הייעוץ ונדון על האופציות הטובות ביותר עבורך.

משך הזמן משתנה בהתאם למורכבות המקרה, אך בדרך כלל נע בין 6 ל-18 חודשים. במהלך הפגישה הראשונית, נוכל לתת הערכה יותר מדויקת לזמן הטיפול שלך.

המחיר תלוי בכמה גורמים, כמו מורכבות המקרה, אורך הטיפול ומספר הקשתיות הנדרשות.
נשמח לתת טווח מחירים ראשוני בשיחת הטלפון, על סמך המידע שתשתפו. לאחר מכן, נזמין אתכם לשיחת וידאו ללא עלות עם רופא אורתודנט מומחה, בה תקבלו הערכה מקיפה והצעת מחיר אישית.
יש לנו גם מבצעים אטרקטיביים שנשמח לפרט עליהם בשיחה. המטרה שלנו למצוא עבורכם את האפשרות המשתלמת ביותר מבחינת התוצאה והמחיר.
מתאים לכם? השאירו מספר טלפון וניצור קשר כדי להתחיל את המסע ליישור השיניים המושלם שלכם.
 

אם תאבד או תשבור קשתית יישור של ®Invisalign, הודע על כך מייד לרופא מומחה ®Invisalign שלך. רופא מומחה ®Invisalign יסייע לך להמשיך בתוכנית הטיפול כמתוכנן, והדבר עשוי להיות כרוך בהרכבת ערכה קודמת של קשתיות יישור, הערכה הבאה של קשתיות היישור, או הזמנת קשתיות יישור חלופיות.

תוצאות

צור קשר

הגיע הזמן לקחת את הצעד הראשון לחיוך שתמיד חלמת עליו.
צרו איתנו קשר עוד היום לייעוץ ראשוני ונתחיל ביחד את 
מסע היישור של שינייך.

מעדיפים שנחזור אליכם בטלפון? אין בעיה!